с 9 до 21 (Пн. - Пт.)
Сб. - Вс. - по записи
г. Минск ул.Железнодорожная 44
ст.м. Грушевка
Записаться
Записаться
Главная
О нас
Наши врачи
Услуги
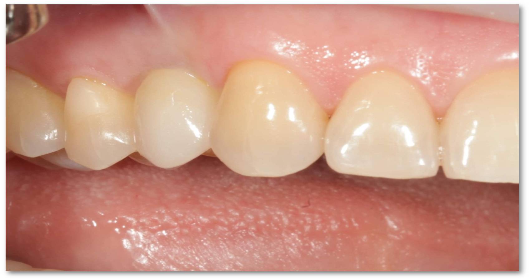
Имплантация
Шинирование
Лечение зубов
Протезирование
Удаление зубов
Профессиональная гигиена полости рта
Цены
Новости
Программы
Отзывы
Контакты
Новости
Главная страница
Новости
×
Онлайн запись:
Оставьте свои контакты
Введите имя
Введите email
Введите телефон
Вид услуги:
Вид услуги
Консультация
Лечение
Имплантация
Шинирование
Протезирование
Удаление
Отбеливание
Другое
Желаемая дата
Желаемое время:
любое
утро
день
вечер